When you think of cosmetic treatments you might not automatically think of gum procedures. This treatment style can quickly transform your smile and give you instant confidence.
At James Martin, DMD, we are committed to using unique and clinically tested ways to improve your appearance and oral health. Dr. Martin has over 2000 post-residency hours, ranking highly in clinical care.
Enhancing the health and appearance of your gums will play a pivotal role in your overall well-being. To get started, contact our dental team today and schedule an appointment!
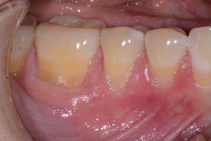
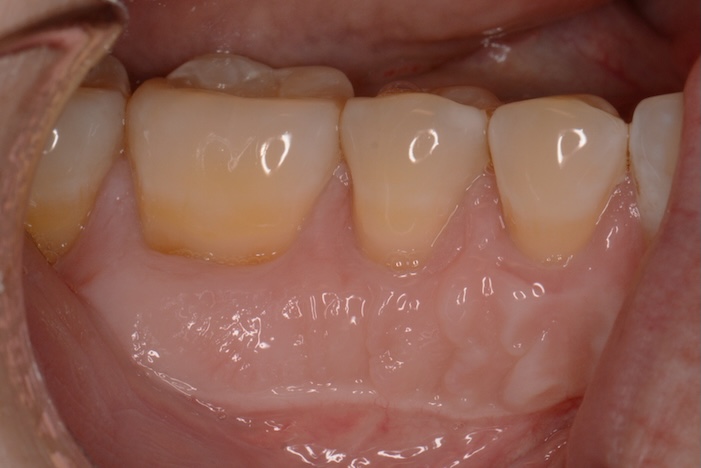
Schedule AppointmentCheck out some real cases
Before
& After’s
The Solutions Gum Procedures Offer
Each gum procedure does something slightly different for your smile. We can advise you on which procedure will help with your specific experience and concerns. We might recommend a gum procedure to:
- Treat the effects of gum disease
- Enhance the cosmetics of your smile
- Change the position of your lip for a less gummy smile
- Cover exposed tooth roots
- Prepare you for other dental work
Why Should I Get a Gum Procedure?
There are many reasons to get a gum procedure and each type comes with specific benefits. Here are some of the amazing benefits of treating your gums:
- A Balanced Smile | Gums are an essential part of creating a smile that looks cohesive and beautiful. They allow people to focus on your beautiful teeth or overall enhanced look.
- Enhanced Health | Gum disease is closely linked to poorer overall body health. Our procedures treat the appearance and health of your smile.
- Reduced Pain | Gum disease or recession can cause sensitivity and inflammation. Our procedures can bring back the health of your gums so you can go about your daily life.
- Enhanced Confidence | Knowing you have a cohesive smile with beautiful gums can increase your confidence and willingness to smile.
The way we handle gum procedures at James Martin, DMD, will improve your overall health while giving you stunning results.
Talk to Dr. Martin about options for your smile!
Types of Gum Procedures
Before getting any treatment it’s important to know your options and which one will work for your smile needs and health goals. Here are the gum procedures that we offer:
Gum Grafts
A big concern for your oral health, functionality, and appearance, is receding gums. To restore your smile, we use gum grafts. This process works by using graft tissue to cover the exposed roots, protecting your smile.
Gum grafts can be a cosmetic solution but are also a common treatment after periodontal disease. They take the longest to heal from but are one of the more versatile treatments after suffering from gum loss.
Gum Lifts
This is also called a gingivectomy. To create a symmetrical smile, our dental team will sculpt and reshape the gum line. This process is quick and should not cause you any pain or discomfort.
It is great for making a balanced smile and getting rid of excess tissue. It can be paired with a lip lowering if you find that your upper lip placement is contributing to a gummy smile as well.
Crown Lengthening
Crown lengthening is similar to a gum lift, but it is done before placing a restoration such as a crown or a veneer.
While your gums may be healthy and aesthetically pleasing, if they are in the way of a crown or veneer it is best to lift them slightly to continue the harmonious appearance of your smile and to prevent damaging your gums.
Lip Lowering
Lip repositioning, or lip lowering, is a minimally invasive surgical procedure aimed at reducing excessive gum exposure, commonly referred to as a “gummy smile.” The procedure involves repositioning the lip to sit lower.
By limiting the upward movement of the lip, it creates a more balanced and aesthetically pleasing smile. Learn more on our lip lowering page.

Finding the Right Gum Treatment for You
Gum treatments are used for two main reasons: gum disease treatment and cosmetic results. Sometimes a gum treatment is recommended for both reasons, or sometimes just one. Whatever the treatment may be, we know it can enhance your life.
Oral Health and Periodontal Disease Solutions
Periodontal disease often must be treated by gingivectomies (also called gum lifts) and in extreme cases, gum grafts. Gingivectomies can remove the infected gums, allowing your body to heal and restore your smile.
If gum disease has caused permanent damage, you may experience gum recession, and need a gum graft. To learn more about periodontal disease treatment, you can visit our page on it.
Aesthetic Solutions
Our gum procedures can take your smile to the next level. Many people assume that their smile will be perfect when they get their teeth whitened or restore a damaged tooth. However, they may find that the last step to an elevated smile is making sure the teeth are framed nicely by their gums.
We use gum lifts and lip lowering for aesthetic purposes, but you may notice enhanced cosmetics with any of our procedures.


Kim was afraid to have her receding gum line fixed. Dr. Martin used a minimally-invasive gum grafting technique to renew her smile.
Read her full Story!
Watch her video >>
Laser Gum Treatments
Depending on the situation of your smile, Dr. Martin may choose to use a soft tissue laser to treat your gums. A soft tissue laser can be used during a gum lift or crown lengthening. This amazing piece of technology:
- Lessens recovery times
- Reduces inflammation and bleeding
- Allows for more precision
- Minimizes pain during the procedure
While laser gum treatment cannot be used for every situation, Dr. Martin will let you know during a consultation if he thinks that is an option for you.
Recovering from a Gum Lift or Crown Lengthening
A gum lift reshapes the gum line by removing excess tissue to create a more balanced, aesthetically pleasing smile. This procedure is often used for treating a gummy smile or preparing a tooth for restorative work, such as a crown.
What to Expect After a Gum Lift:
- Mild swelling and tenderness for a few days
- Sensitivity to hot, cold, or spicy foods during the initial healing period
- Stitches may be present if tissue reshaping is extensive, but these typically dissolve on their own
Tips for a Smooth Recovery:
- Stick to soft foods for the first few days—avoid anything crunchy or spicy.
- Use a gentle, alcohol-free mouth rinse (as recommended by your dentist) to keep the area clean.
- Take over-the-counter pain medication if needed to manage discomfort.
- Avoid brushing directly over the treated gums for at least a week. Instead, use a soft-bristled toothbrush around the area.
Healing typically takes 1–2 weeks, though if you had the procedure done on every single tooth it may take longer.
Total recovery from a gum graft can take at least 3 weeks, depending on how many areas need to be grafted. Dr. Martin will give you clear instructions and set up a time to perform an exam to check your healing progress.
No matter which procedure you undergo, following your dentist’s aftercare instructions is key to ensuring a smooth recovery. If you experience excessive pain, prolonged bleeding, or signs of infection, reach out to your dentist right away for guidance.
Broaden Your Smile with Gum Procedures
If you want to elevate your smile and find out which gum procedure is right for your smile then schedule a consultation today!
About Dr. Martin
Dr. James Martin received his doctorate in dentistry from Boston University in 2011 and then completed a one-year residency at Lutheran Medical Center in Brooklyn, New York. He continues to travel all around the world to attend at least 200 hours a year of continuing education from the leaders in the field. Dr. Martin is also a Kois-trained dentist in order to provide top aesthetic and long-term oral health care. Dr. Martin blends innovation with personalized attention for a healthier, more radiant smile.
















