When you have a missing or damaged tooth, it can affect your quality of life through decreased confidence, pain, and loss of function. Dental crowns can solve those dental problems and get you back to everyday life without stress.
At James Martin, DMD, we prioritize the latest techniques and dental technology to strengthen your oral health. Dr. James Martin enhances this service with over 2000 hours of post-residency continuing education in advanced dental technology and techniques. If you want a health-conscious approach, schedule with our dental team today!
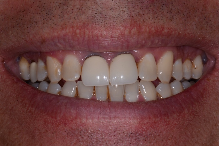
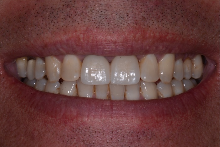
Check out some real cases
Before
& After’s
DENTAL CROWN TREATMENT
This versatile service is both restorative and cosmetic because it completes your smile and restores your chewing function. Whether you have decay, cosmetic imperfections, damage, or a missing tooth, dental crowns are a lasting solution.
During your appointment, Dr. Martin will examine your teeth and create a customized treatment plan allowing you to discuss the size, shape, and coloring of the crown before placing it.
What Are Crowns Used For?
We may recommend a dental crown if you’re suffering from:
- Severely decayed or damaged teeth
- Cracked or fractured teeth
- Teeth weakened by large fillings
- Discolored or misshapen teeth
- Teeth restored after a root canal
They can completely restore a damaged tooth, giving you a cosmetic boost and relieving pain. If you’re suffering from any of these issues, contact James Martin, DMD, today.
The Benefits of a Dental Crown
A dental crown is incredibly versatile, treating and solving a plethora of dental concerns. Learn more about the benefits of a dental crown:
- Restores Tooth Function | Strengthens and stabilizes damaged or weakened teeth, allowing you to bite and chew comfortably.
- Relieves Pain | Protects exposed or sensitive areas of damaged teeth, providing relief from discomfort and preventing further irritation.
- Enhances Appearance | Covers discolored or misshapen teeth, improving the overall look of your smile with a natural, uniform appearance.
- Provides Durability and Longevity | Made from strong materials that withstand everyday wear and tear, offering a long-lasting solution for dental issues.
- Protects Against Further Damage | Shields teeth from decay or fracture, preventing the need for more extensive dental work in the future.
- Seamlessly Blends with Your Smile | Custom-made to match the color and shape of your natural teeth, ensuring a seamless, natural-looking result.
Dr. Martin is here for you. We understand that tooth trauma or pain can be stressful and alter your daily life, which is why we offer same-day restorations that make it easier for you to experience a better life.
Rochelle’s tooth roots were showing. She said that she now gives thanks every day for getting her new smile.
Same-Day Restorations in Lafayette, CO
One way that our dentistry stands apart from other dental offices is through our CEREC technology. This feature brings many benefits with it, revolutionizing dental crown treatment. Some of the key benefits of our dental crown services with CEREC include:
- Preserves More Tooth Structure | CEREC technology allows us to create precise crowns that require minimal alteration of the natural tooth, helping to preserve as much of your original tooth structure as possible.
- Immediate Results | This is probably our patients’ favorite bonus with our CEREC technology—we can give you stunning, lasting, and durable results on the same day of your appointment. You will not have to experience temporary crowns or multiple dental visits again, saving you time and money.
- Compatible | With the materials and technology we use, you will have high-quality crowns that are specific to your smile needs and goals. CEREC ensures precision and customization for a secure fit compatible with your gums and smile to give you lasting and natural-looking results.


After years of not visiting the dentist, Dan’s smile was bothering him. We strengthened his molars with crowns and finished the treatment with Invisalign for a renewed smile.
Read his full Story!
Watch His Video >>


Our Dental Crown Process
Getting a dental crown is easy, with single-appointment crowns available!
1. Consultation
The first step to getting a tooth restored with a dental crown is visiting Dr. Martin for a consultation. Our new patient consultation is unique, with a detailed intake and time to get to know Dr. Martin. We spend two hours getting to know you, taking X-rays, and creating a custom dental plan. If you have already had one of our new patient consultations, we can do a shorter one with scans and a discussion about the cost and benefits of dental crowns.
2. Prep
Our appointments last around 1–2 hours. First, we will prep the tooth or teeth that are getting a crown. During prep, we will remove a bit of enamel and shape the tooth to hold the crown properly. We use local anesthesia and also have several sedation dentistry options to make your visit more comfortable.
Then we will take digital impressions using our CBCT technology, getting a 3D image of your prepped tooth. We use the scan to create a computer-aided design (CAD) image of your new tooth.
3. Crown Creation
We will take the CAD image of your teeth and send it to the CEREC milling machine. We use a variety of materials to give you the most durable and aesthetically pleasing crown possible. The CEREC machine will take a block of whichever materials we decide on, and create a custom crown.
4. Placement
Dr. Martin then takes the crown and places it over your prepped tooth. He uses permanent dental bonding to secure it to your original tooth. This is how you can get a crown all in one visit!
As you recover you may have a tiny bit of swelling, pain, or sensitivity. You can take pain relief for a couple of days, but if it is persistent or long-lasting, make sure to contact us to get help.
Use Crowns to Replace a Tooth
Our crowns are one of our many restoration options when you get a dental implant. Crowns will “restore” your dental implant, creating the visible part of your new tooth, while the implant acts as a tooth root.
Our implant restorations are made out of ceramic, making them incredibly durable and beautiful. They have a light translucency to them, just like a normal tooth.
RESTORE YOUR SMILE TODAY!
With dental crown treatment, you will receive cosmetic and restorative benefits in one visit. Utilizing CEREC same-day crowns offers a dental solution specific to your unique needs. We are constantly climbing to new heights in the dental industry to ensure you are getting exceptional care. Call us today to get started!
About Dr. Martin
Dr. James Martin received his doctorate in dentistry from Boston University in 2011 and then completed a one-year residency at Lutheran Medical Center in Brooklyn, New York. He continues to travel all around the world to attend at least 200 hours a year of continuing education from the leaders in the field. Dr. Martin is also a Kois-trained dentist in order to provide top aesthetic and long-term oral health care. Dr. Martin blends innovation with personalized attention for a healthier, more radiant smile.





































