If you want to restore functionality while giving yourself a cosmetic boost, then dental bridges could be a great option for you. Here at James Martin, DMD, we prioritize oral health to strengthen your overall well-being and improve your lifestyle. Our collaborative approach and expert care are supported by Dr. Martin’s extensive hours of continuing education he receives each year. We reach new heights with dental excellence to transform your smile.
Contact our dental team today to take a health-conscious approach that restores function and appearance in your smile.
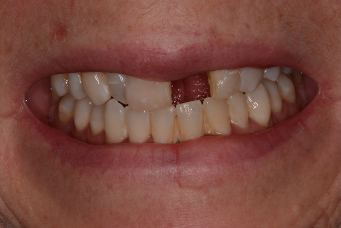
Check out some real cases
Before
& After’s
What are Dental Bridges?
Dental bridges are used to replace 1–3 missing teeth in a row. Dental bridges cover your surrounding teeth and have a dental crown in between to fill the gap from one or more missing teeth. We create two options of dental implants: removable or permanent. Our permanent dental bridges can be supported by dental implants for extra restorative care.
When Do I Need a Dental Bridge?
Dental bridges are primarily for replacing a missing tooth. If you have a tooth that needs to be removed or is already missing, bridges can help. They prevent your remaining teeth from shifting into your tooth gap, restore functionality, and aesthetics.
Dental bridges can be particularly helpful for those who don’t have enough bone density for implants. Bridges don’t require surgery or bone density, but still offer restorative solutions for missing teeth.
What Dental Bridges Have to Offer

Dental bridges are a common dental treatment because of the many benefits they provide. Our dental office sets a new precedent for this procedure through these key features:
- Customized Solutions | Since every smile is unique, we not only customize your treatment but also the bridge and crown used in the process. This will give you natural-looking, comfortable, and long-lasting results.
- Preservation of Natural Tooth Structure | With this treatment, you do not have to worry about losing any more teeth or damaging your current smile. Instead, it preserves your natural tooth structure and provides a stable foundation for the bridge.
- Restoration of Functionality | You will be able to eat and speak without problems once the dental bridge fills the gap caused by a missing tooth.
- Cosmetic Enhancement | The appearance of your smile can be drastically interrupted by a gap, but a bridge fills that gap with a natural-appearing tooth to help you regain your confidence.
- Versatile Options | Dental bridges can be implant-supported, removable, or permanent, depending on your preferences, oral health history, and Dr. Martin’s suggestion. This helps you have a smile you love and opens up candidacy possibilities.
Am I a Candidate?
You are a good candidate for dental bridges if you have a single missing tooth or multiple missing teeth in the same gap. Your oral health will be assessed, and we will use high-quality materials and technology to conduct treatment to ensure a visually appealing result with long-term health and stability of your oral structure.
Our Dental Bridge Process
The process for receiving a dental bridge changes based on whether you are receiving a traditional bridge or an implant-supported bridge. Traditional bridges use the surrounding teeth to replace your tooth, while dental implant bridges replace at least three teeth using two dental implants.
Both processes will start with a consultation with Dr. Martin. If you are a new patient, he offers personalized and thorough 2-hour inital consultations to get started. Your X-rays during that consultation are even complimentary!
Using those X-rays and our CBCT scanner, we can determine if you are a good candidate for a traditional or implant-supported bridge.
Traditional Dental Bridge Process
- Tooth Preparation | The teeth on either side of the gap (called abutment teeth) will be reshaped to make room for the crowns that will support the bridge. This step is done under local anesthesia to ensure comfort.
- Impressions and Shade Matching | Once your teeth are prepared, Dr. Martin will take detailed impressions of your mouth. These are used to custom-design your bridge for a perfect fit. He’ll also match the shade of the bridge to your natural teeth for a seamless appearance. Our impressions are digital, so you don’t have to deal with messy impression material.
- Temporary Bridge Placement | While your permanent bridge is being crafted by our dental lab, a temporary bridge will be placed to protect your teeth and maintain function.
- Final Bridge Placement | At your next visit, the temporary bridge is removed, and your new permanent bridge is carefully placed, adjusted for fit and comfort, and cemented in place.
- Follow-Up and At-Home Care | Dr. Martin will check your bite and give you personalized instructions on caring for your bridge. Regular brushing, flossing, and checkups will help your new bridge last for years to come.
If you receive a removable bridge, we will still prep your teeth, but after that, we will create a removable bridge using your impressions. You can come pick up the bridge and come in for a fitting. You will remove it every night and clean it similarly to dentures. You can look at our partial dentures information to learn more about removable restorations.
Implant-Supported Dental Bridge Process
These bridges can take more time to get and recover from, but they have numerous extra benefits over traditional bridges.
- Implant Placement Surgery | Dental implants, which are small titanium posts that act as your tooth roots, are surgically placed into the jawbone at the sites of the missing teeth. These serve as stable anchors for your future bridge. Healing time varies, but most patients need a few months for the implants to fully integrate with their jawbone.
- Temporary Restoration (If Needed) | During the healing phase, a temporary bridge or restoration may be provided to maintain appearance and function while the implants bond with your jawbone.
- Abutment Placement | Once the implants have fully healed, small connectors called abutments are attached to the top of each implant. These will hold your final bridge securely in place.
- Impressions and Custom Bridge Design | Dr. Martin will take precise impressions and choose a tooth shade that matches your natural smile. Your final bridge is crafted to ensure a secure fit and natural appearance.
- Final Bridge Placement | The permanent bridge is attached to the abutments and adjusted for comfort, function, and appearance. Dr. Martin will ensure your bite is balanced and the bridge feels natural.
- Ongoing Care and Maintenance | You’ll receive personalized guidance on how to clean around your implants and maintain your bridge. Regular checkups with Dr. Martin will help ensure long-term success and protect your overall oral health.
Comparing Implant-Supported Bridges and Traditional Dental Bridges
Dental bridges are a trusted solution for replacing missing teeth, but not all bridges work the same way. Both solutions provide an enhancement to your appearance, an increase in function, and prevent surrounding teeth from shifting into the gaps caused by missing teeth.
Depending on your oral health and the number of teeth you need replaced, Dr. Martin may recommend a traditional bridge or an implant-supported one. Here’s how they compare.
Traditional Dental Bridges
- Replaces a Single Tooth | A traditional bridge is most often used to replace one missing tooth.
- Requires Support from Neighboring Teeth | The teeth on either side of the gap are reshaped and fitted with crowns to hold the artificial tooth in place.
- No Surgery Required | This option does not involve surgery, which can be ideal for those looking for a quicker or less invasive treatment.
- Shorter Timeline | Traditional bridges can often be completed in just a few visits.
- May Involve Healthy Teeth | One drawback is that the adjacent teeth need to be altered, even if they’re otherwise healthy.
Each option offers specific benefits depending on your unique needs and preferences. Dr. Martin will take the time to evaluate your smile, bone health, and long-term goals to guide you toward the best solution. Whether you choose a traditional or implant-supported bridge, the goal is the same: to restore function, improve appearance, and help you smile with confidence.
Implant-Supported Bridges
- Replaces Three or More Teeth | This type of bridge is commonly used when you’re missing multiple teeth in a row.
- Anchored by Dental Implants | Instead of relying on nearby teeth, implants are surgically placed in the jawbone to support the bridge.
- Preserves Natural Teeth | Since it doesn’t involve modifying surrounding teeth, implant-supported bridges protect more of your natural tooth structure.
- Stronger, More Stable Option | The implants provide excellent support, offering a more secure and long-lasting solution.
- Longer Treatment Timeline | Because it involves surgery and healing time, implant-supported bridges take longer to complete.
- Improved Jawbone Health | While both options improve function and oral health, only dental implants provide support to your jawbone.
- Higher Initial Investment | Since dental implants are a surgical procedure, they can raise the cost of a dental bridge, but they last much longer than traditional dental bridges.

Trust Dr. Martin With Your Restorations
Dr. Martin has over 2000+ hours of post-residency education in restorative dentistry and implant dentistry. You can trust him to work with you to help you select the right kind of dental bridge that works best for your smile. We have many other tooth replacement options should a dental bridge not be the right one.
Find Out More—Call Today!
Dental bridges can help you feel confident and regain your smile’s function once again. Schedule a consultation with our dental team to get started on your new and improved smile today!
About Dr. Martin
Dr. James Martin received his doctorate in dentistry from Boston University in 2011 and then completed a one-year residency at Lutheran Medical Center in Brooklyn, New York. He continues to travel all around the world to attend at least 200 hours a year of continuing education from the leaders in the field. Dr. Martin is also a Kois-trained dentist in order to provide top aesthetic and long-term oral health care. Dr. Martin blends innovation with personalized attention for a healthier, more radiant smile.






























