No one wants to experience a dental emergency; but when one happens, it is important to know what to expect, what to do, and where to go. Dental emergencies can happen at any time, and our dental office wants to help you be prepared just in case one occurs. Our emergency dental care services protect your oral and overall health so you can get back to what you do best.
If you want a prompt and effective solution that will alleviate pain and safeguard your oral health, call our dental team!
Dr. James Martin has over 2000+ hours of post-residential experience, so he is prepared to help you through your dental emergency.
Make Emergency Appointment RequestThe Importance of Receiving Immediate Treatment
Even if something minor has happened, or you are experiencing a toothache that won’t go away but it doesn’t feel like an emergency, urgent care is quite important. It is even more important for issues such as a knocked-out tooth or consistent bleeding.
Prompt care care preserves a tooth that may have otherwise needed to be removed. A missing tooth can lead to many issues, such as a shifting smile, infections, and jawbone loss. We want you to keep as many of your teeth as possible.
Receiving prompt treatment also allows your dentist to:
- Prevent further infection
- Relieve pain and swelling
- Keep your smile’s appearance
It is best to stop an issue before it has lasting effects on your health.
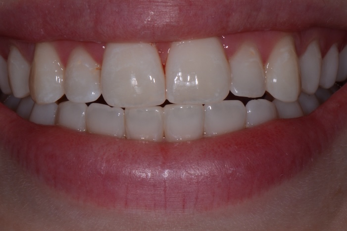
Check out some real cases
Before
& After’s
A serious fall broke Erin’s front teeth. Dr Martin created a plan to fully restore her smile.
What to Do if You Have Lost a Tooth
A lost tooth or chipped tooth can be a serious dental issue if not treated promptly. If you have lost a tooth or chipped a tooth, keep whatever pieces of the tooth you have with you. You can keep it in milk to prevent the tooth from decaying as quickly.
You should call your nearest emergency dentist to schedule an appointment. Sometimes the tooth can be placed back in the socket and your gums will heal around the tooth.
If you have had a tooth chipped, we have UV resin that can bond the chip back to the tooth, making it whole again.

If we are unable to rescue the tooth, our restorative and cosmetic dentistry solutions can bring your smile back to its former beauty in a very short period of time.
Signs of a Dental Infection
A dental infection is a dental emergency. This is when your gums, your tooth, or any area of your mouth is infected or has an abscess. If these are left untreated, they can spread and lead to infection in other areas of your body, and lead to tooth loss.
Here are some signs of a serious dental infection:
- Pus or discharge from inside your mouth
- A toothache that does not pass in a couple of hours
- Swelling of your face or gums
- Discoloration in your tongue, gums, or tooth
You may also experience bad breath, sensitive teeth, or bleeding gums with these more severe symptoms. If you are experiencing one or any of those signs, seek emergency care from James Martin, DMD.
We treat these dental infections in many different ways, but treatments may include an oral antibiotic, specialized antibiotic mouthwash, or periodontal treatments. We will use our advanced diagnostic tools to determine what will help you be pain-free now and free from a dental infection in the long term too.
Schedule My Emergency VisitWhat Is Considered a Dental Emergency?
Our compassionate and skilled team understands the stress and discomfort that come with dental emergencies. We focus on your immediate relief and long-term oral health. If you are unsure if something constitutes a dental emergency, please give us a call and we can instruct you on the next steps.
Some of the most common dental emergencies are:
- Intense tooth pain
- Excessive bleeding in gums
- Trauma
- Knocked out tooth
- Dental abscess
- Damaged dental restoration
- Cracked tooth
If you feel like you cannot go about regular life because of discomfort or pain in your mouth, that is a good time to call James Martin, DMD. We will give you instructions and schedule a visit. It is always better to call and make sure you do not need urgent care than to wonder or be in pain.

How We Can Help

For a dental emergency, a prompt response is necessary to protect your oral health and keep you from unnecessary pain. Regardless of your emergency, we are prepared to treat your immediate concerns and prevent emergencies in the future.
We offer many kinds of emergency dentistry services, customized for your individual issues and concerns:
- Root Canals: An infected tooth can cause inflammation, infections, and toothaches around the infected tooth.
- Implants and Restorations: If you have lost a tooth and we cannot repair it, we offer restorative dentistry to make your smile whole again.
- Cosmetic Treatments: Our veneers and crowns can protect and hide a damaged tooth, erasing chips or discolored teeth.
- Dental Repair and Bonding: We repair chips and minor cracks with tooth-colored dental bonding, strengthening your tooth.
- Periodontal Treatments: Sometimes toothaches or loose teeth are caused by advanced periodontal disease.
The very best help we can offer is Dr. Martin’s expertise in the field of dentistry. He has over 2000+ hours of post-residential experience and is ready and capable to help you with your emergency dental.
Immediate Assessment and Treatment
We understand the urgency of your situation and we prioritize timely intervention to address pain, trauma, or any other pressing concerns. If you call us while you are on your way to the dental office we can instruct you on how to minimize pain and protect your oral health until you get here. Then our dedicated team will provide swift and effective solutions.
Advanced Diagnostic Tools
Using our advanced technology, techniques, and diagnostic tools, we can quickly determine what your dental emergency is and how to address it. We can make informed decisions and specific treatments based on your emergency with the help of digital imaging and intraoral cameras, ensuring a precise and health-conscious approach to treatment.

Emergency Treatment Like No Other
Receiving treatment quickly should not come at the sacrifice of having high-quality treatment. At James Martin, DMD, we offer high-quality solutions even in the case of a dental emergency.
We will take the time to assess why your dental emergency happened and work to prevent issues in the future while alleviating pain and discomfort now.
CEREC Crowns
Our advanced technology includes CEREC crowns, which are crowns we mill in our office. You can have a crown in just one or two visits with this technology.
CEREC uses a specialized ceramic material that is stain-resistant and durable. If you have permanent damage to a tooth, we have a solution that will restore your smile in a couple of visits! Now, your dental emergency can be fixed quickly, with our in-house CEREC technology.
Not only are CEREC crowns efficient, but they are also completely custom. We can adjust the color and size to match perfectly with your current smile, instantly restoring your good looks.
Sedation Dentistry
We understand that a dental emergency can be a very stressful experience. We offer sedation dentistry to make your experience easier and to alleviate the pain and discomfort you might be feeling. Our nitrous oxide can be used in the office during your visit and does not require a prescription beforehand.
Our Patients’ Experiences with Dr. Martin
“As someone who has been deathly afraid of going to the dentist their whole life, I can honestly say I am happy to walk into James Martin DMD without any worries. I had to contact their office for an emergency root canal a couple months ago. I went in fearful, literally crying due to trauma from past experiences. I have always been someone that never gets “numb” from the numbing medication. Seeing Dr. Martin has changed that drastically! With the sedation his office offers, I was able to get all of my procedures done peacefully and without any pain. I 100% recommend Dr. Martin to anyone with any sort of anxiety towards dental practices.“
– Cassandra S.
Emergency Dental FAQs
A sudden dental situation often leaves people with a lot of questions. Don’t hesitate to reach out to James Martin, DMD, with your questions.
Should I visit the hospital during a dental emergency?
If you have experienced a broken bone or excessive blood loss, a hospital can help you treat those issues. A hospital may also be able to help with pain management, especially if your dental office has closed for the day, but they cannot provide you with long-term solutions as they will not likely have a dentist on staff. For most dental emergencies, your local dentist in Lafayette, Colorado, can provide you with long-term solutions.
What do I do if I lose a crown or filling?
Keep the crown or filling and immediately call your dentist. Do not try to restore the restoration yourself. If you are experiencing pain or swelling after losing the restoration, you can take over-the-counter pain medications to help.
How do I avoid dental emergencies?
Dental emergencies are not always avoidable, sometimes things just happen. However, it is important to:
- Maintain good oral health and hygiene
- Always wear a mouthguard during sports
- Visit your dentist regularly, to prevent issues
- Treat pain or lose teeth before it escalates
It is always better to visit the dentist before you have an emergency, not after.
How much does emergency dentistry cost?
This depends on the treatment that we recommend based on your emergency. At James Martin, DMD, we seek to be upfront about your costs, as well as offer a high level of care.
Does insurance cover emergency dentistry?
We encourage you to ask your insurance provider about their emergency dental coverage. Oftentimes, emergency dentistry is hard to distinguish from regular treatments for insurance. Our office will submit claims for you, but we do not partner with any insurance providers at this time.
Having a Dental Emergency? Call Now!
We are prepared to help you receive immediate and lasting care during a time of urgent care needs. Call our dental office to find out more about what to do in a dental emergency.
Emergency Appointment Request – We’ll reach out ASAP!
About Dr. Martin
Dr. James Martin received his doctorate in dentistry from Boston University in 2011 and then completed a one-year residency at Lutheran Medical Center in Brooklyn, New York. He continues to travel all around the world to attend at least 200 hours a year of continuing education from the leaders in the field. Dr. Martin is also a Kois-trained dentist in order to provide top aesthetic and long-term oral health care. Dr. Martin blends innovation with personalized attention for a healthier, more radiant smile.













